病史介绍
✦现病史:
患者,49岁,系“月经量增多伴有经期腹痛3年”入院。
患者既往月经规律。3年前开始出现月经量增多并伴有经期腹痛,可以忍受,不服用止痛药。有深部性交痛伴肛门坠胀感,有经期稀便症状。间断口服铁剂纠正贫血治疗。
病程中无血便、血尿等消化系统及泌尿系统症状。
✦既往史:
既往体健,无特殊疾病史。
✦孕产史:
1-0-1-1,1992年经阴道分娩一足月男婴,1993年人流一次。一直工具避孕。
✦体格检查:
体检:
T:36.1℃,P:81次/分,R:20次/分,BP:112/77mmHg。
心肺(-)。腹软,下腹可扪及质硬包块位于耻骨联合上方4cm,无压痛,活动度欠佳。
妇科检查:
外阴:婚产式
阴道:畅,粘膜正常
宫颈:光滑,肥大
子宫:后位,孕4月大小,表面尚规则,质硬,活动度欠佳
附件:双侧附件区均有增厚感,未及包块,无明显压痛
三合诊:直肠粘膜光滑,子宫颈后方子宫直肠凹可及多个触痛结节,直径约0.5-1.0cm,质硬,形状不规则,固定。双侧骶韧带增粗,触痛(+),宫旁(-)
✦辅助检查:
血CA125:40.96U/ML,血常规:血红蛋白102g/l,尿常规、大便常规、凝血、生化均正常。
经阴道超声检查:子宫体长径92mm,厚110mm,左右径102mm,体积增大,形态失常,肌层内大部分为低回声团,最大102mm*83mm*89mm,内部呈漩涡状改变,受低回声团遮挡,宫腔线显示不清。盆腔左侧探及范围28mm*33mm*19mm的无回声,边界清晰,内充满密集点状回声,盆腔右侧探及15mm*10mm*10mm的类似回声。
影像学提示:子宫肌瘤,双附件区囊性包块(考虑卵巢巧囊可能)
泌尿系超声检查:双肾、输尿管、膀胱未见异常
我院行分段诊刮手术,术后病理为:少量宫颈管粘膜上皮呈慢性炎症;子宫内膜腺体呈增生反应,间质致密。



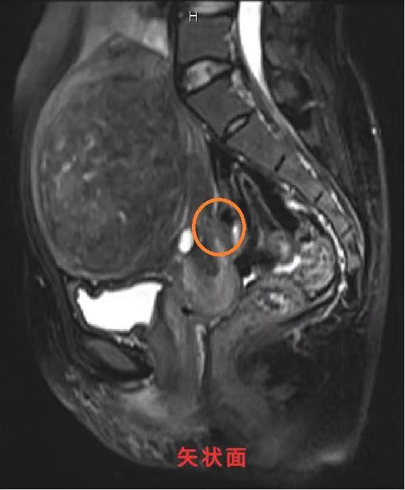
以上3张图(矢状面、冠状面、横断面)中圈出位置可见MRI:子宫后壁近宫颈处见结节状短T1信号。
✦诊断:
1.子宫肌瘤
2.双侧卵巢子宫内膜异位囊肿
3.盆腔子宫内膜异位症
✦治疗方案:
腹腔镜全子宫双附件切除术
手术标本:

术后病理:

术后情况:
患者术后1天查血常规:Hb 93g/l,术后3天拔除盆腔引流管,术后5天出院。
专家简介
王文艳 教授
主任医师、教授、博士后,博士研究生导师
安徽医科大学第二附属医院副院长
中国医师协会妇产科医师分会第四届委员会委员
中国医师协会医学遗传分会第三届委员会委员
中国妇幼保健协会妇科阴式手术专业委员会副主任委员
安徽省医师协会伦理委员会主任委员
安徽省医师协会妇产科分会单孔腹腔镜工作委员会主任委员
安徽省医学会妇产科学分会第十一届委员会委员
安徽省临床肿瘤学会妇科肿瘤专业委员会副主任委员
中华医学会安徽分会妇产科分会盆底组副组长
责编:liu
